Es una infección de transmisión sexual. El virus del herpes simple causa esta afección.
Este artículo se enfoca en la infección por el VHS tipo 2.
El herpes genital afecta la piel o las membranas mucosas de los genitales. El virus se trasmite de una persona a otra durante el contacto sexual.
Hay 2 tipos de virus del herpes simple (VHS):
- El VHS-1 con frecuencia afecta la boca y los labios, y causa úlceras bucales o ampollas febriles. Sin embargo, se puede transmitir de la boca a los genitales durante el sexo oral.
- El VHS tipo 2 (VHS-2) casi siempre causa el herpes genital. Se puede transmitir a través del contacto con la piel o a través de líquidos (secreciones) orales o genitales.
Usted se puede infectar de herpes si su piel, vagina, pene o boca entran en contacto con alguien que ya tiene herpes.
Tendrá más probabilidades de contraer herpes si toca la piel de alguien que tenga ampollas, una erupción o úlceras asociadas al herpes. Sin embargo, el virus se puede diseminar incluso cuando no hay ninguna úlcera ni otros síntomas presentes. En algunos casos, es posible que usted no sepa que está infectado.
Las infecciones genitales por el VHS-2 son más comunes en las mujeres que en los hombres.
Muchas personas con herpes genital nunca presentan úlceras. O tienen síntomas muy leves que ni siquiera notan o que confunden con picaduras de insectos u otra afección cutánea.
En los casos en los que se presenten signos y síntomas durante el primer brote, estos pueden ser graves. El primer brote generalmente sucede al cabo de dos días a dos semanas de resultar infectado.
Los síntomas generales incluyen:
- Disminución del apetito
- Fiebre
- Indisposición general (malestar)
- Dolores musculares en la espalda baja, los glúteos, los muslos o las rodillas
- Ganglios linfáticos inflamados y sensibles en la entrepierna (ingle)
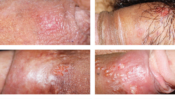
Los síntomas genitales incluyen la aparición de ampollas pequeñas y dolorosas, llenas de un líquido claro o color paja. Generalmente se encuentran en las siguientes zonas:
- Labios vaginales externos, la vagina, el cuello uterino, alrededor del ano y en los muslos o en los glúteos (en mujeres)
- Pene, el escroto, alrededor del ano, en los muslos o en los glúteos (en hombres)
- Lengua, la boca, los ojos, las encías, los labios, los dedos de las manos y otras partes del cuerpo (en ambos sexos)
Antes de que las ampollas aparezcan, puede haber hormigueo, ardor, comezón o dolor en el sitio donde las ampollas van a aparecer. Cuando las ampollas se rompen, dejan úlceras superficiales que son muy dolorosas. Estas úlceras forman costras y sanan lentamente durante 7 a 14 días o más.
Otros síntomas pueden incluir:
- Dolor al orinar
- Flujo vaginal (en mujeres) o
- Dificultad para vaciar la vejiga que puede necesitar una sonda vesical
Un segundo brote puede aparecer semanas o meses más tarde. Con frecuencia es menos intenso y desaparece más rápidamente que el primer brote. Con el tiempo, la cantidad de brotes puede disminuir.
Se pueden hacer exámenes en las úlceras o ampollas cutáneas para diagnosticar el herpes. Estos exámenes casi siempre se realizan cuando alguien tiene un primer brote o cuando una mujer embarazada presenta síntomas de herpes genital. Los exámenes incluyen:
- El cultivo del líquido de una ampolla o úlcera abierta. Esta prueba puede dar un resultado positivo para el VHS. Es más útil durante el primer brote.
- Reacción en cadena de la polimerasa (RCP), realizada en el líquido de una ampolla. Este es el examen más preciso para determinar si el virus del herpes está presente en la ampolla.
- Los exámenes de sangre en los que se analizan niveles de anticuerpos contra el virus del herpes pueden identificar si una persona está infectada con este virus, incluso entre brotes. Un resultado positivo en una persona que nunca ha tenido un brote indicaría una exposición al virus en algún punto del pasado.
El herpes genital no se puede curar. Se pueden recetar medicinas que combaten virus (como aciclovir o valaciclovir).
- Estas medicinas ayudan a aliviar el dolor y la molestia durante un brote al sanar las úlceras más rápidamente. Parecen funcionar mejor durante un primer ataque más que en los brotes posteriores.
- En caso de brotes repetitivos, la medicina se debe tomar tan pronto como el hormigueo, el ardor o la picazón comiencen o tan pronto como aparezcan las ampollas.
- Las personas que tienen muchos brotes pueden tomar estas medicinas diariamente durante un tiempo. Esto puede ayudar a prevenir brotes o a acortar su duración. También puede reducir la probabilidad de transmitirle el herpes a otra persona.
- Es poco frecuente que el aciclovir y el valaciclovir causen efectos secundarios.
Las mujeres embarazadas se pueden tratar por herpes durante el último mes del embarazo para reducir la probabilidad de tener un brote en el momento del parto. Si hay un brote cerca del momento del parto, se recomendará una cesárea. Esto reduce la probabilidad de infectar al bebé.
Siga las indicaciones de su proveedor de atención médica sobre cómo cuidar los síntomas de herpes en casa.
Puede aliviar el estrés causado por la enfermedad uniéndose a un grupo de apoyo para el herpes. Compartir con otras personas que tengan experiencias y problemas en común puede ayudarle a no sentirse solo.
Una vez que usted resulta infectado, el virus permanece en su cuerpo por el resto de su vida. Algunas personas nunca sufren otro episodio, mientras que otras tienen brotes frecuentes que se pueden desencadenar por fatiga, enfermedad, menstruación o estrés.
Las mujeres embarazadas que tienen una infección por herpes activa cuando dan a luz pueden transmitirle la infección a su bebé. El herpes puede causar una infección cerebral en bebés recién nacidos. Es importante que su proveedor sepa si usted tiene úlceras por herpes o si ha tenido brotes. Esto permitirá que se tomen medidas para evitar que transmita la infección al bebé.
El virus se puede propagar a otras partes del cuerpo, incluso el cerebro, los ojos, el esófago, el hígado, la médula espinal o los pulmones. Estas complicaciones se presentan con frecuencia en personas que tienen un sistema inmunitario debilitado, debido a VIH o ciertas medicinas.
Llame a su proveedor si tiene cualquier síntoma de herpes genital o si presenta fiebre, dolor de cabeza, vómitos u otros síntomas durante o después de un brote de herpes.
Si usted tiene herpes genital, debe comentarle a su pareja que padece la enfermedad, incluso si no tiene síntomas.
Los condones son la mejor forma de protegerse contra el contagio del herpes genital durante la actividad sexual.
- El uso correcto y continuo del condón ayuda a evitar la propagación de la enfermedad.
- Sólo los condones de látex previenen la infección. Los condones de membranas animales (piel de oveja) no funcionan debido a que el virus los puede penetrar.
- El uso del condón femenino también reduce el riesgo de transmisión del herpes genital.
- Si bien es muy poco probable, se puede contraer herpes genital aun con el uso del condón.










































































